This is what your teeth will become when you eat…

 

Many people notice changes in their teeth over time—yellowing, increased sensitivity, or a tendency to chip more easily—and assume the cause is something simple, like coffee, sugary foods, or inconsistent brushing. While everyday habits certainly play a role in dental health, sometimes the explanation goes deeper than surface-level wear. In some cases, the issue begins long before a person ever picks up a toothbrush, rooted in how the teeth developed in the first place.

 

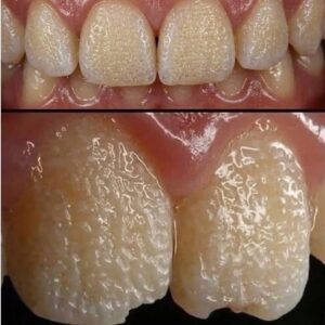
One such condition is Amelogenesis Imperfecta, often referred to as AI. It is a rare genetic disorder that affects the formation of enamel, the outer protective layer of the teeth. Enamel is the hardest substance in the human body, designed to shield teeth from damage, temperature changes, and everyday wear. When it does not form correctly, the effects can be noticeable from an early age and can continue throughout life.

In individuals with AI, the enamel may be too thin, too soft, or poorly mineralized. This means that instead of acting as a strong barrier, it becomes fragile and vulnerable. Teeth may appear discolored—ranging from yellow and brown to gray—or may have a pitted or uneven surface. In some cases, they can also be smaller than usual or irregular in shape.

These visible changes are only part of the experience.

Because enamel serves as the primary protection for the underlying dentin, any weakness in that outer layer exposes the more sensitive parts of the tooth. As a result, people with AI often experience discomfort when consuming hot, cold, or sweet foods and drinks. Even everyday activities, such as breathing in cold air or brushing teeth, can trigger sensitivity.

Unlike common dental issues caused by diet or hygiene, AI is not something that can be corrected through routine care alone. Whitening treatments, for example, are not effective in addressing discoloration caused by enamel defects. Similarly, brushing more frequently or changing toothpaste may help with general oral health, but it does not reverse the underlying structural differences in the enamel.

The condition can affect both primary (baby) teeth and permanent teeth, meaning that signs may appear early in childhood. In many cases, it runs in families, as it is linked to genetic mutations that influence enamel formation during tooth development. This hereditary aspect can make early diagnosis especially important, as it allows families and dental professionals to prepare for long-term care.

AI is not a single uniform condition but includes several different types, each with its own characteristics. In hypoplastic AI, the enamel is thin but relatively hard, leading to teeth that may look smaller or have grooves and pits. In hypomaturation AI, the enamel forms at a normal thickness but remains softer than it should be, making it more prone to wear and damage. Hypocalcified AI involves enamel that is particularly weak and can break down quickly after teeth emerge, often resulting in rapid changes in appearance and function.

Understanding these variations helps guide treatment, as each type may require a slightly different approach to care.

Diagnosis typically involves a combination of dental examinations and imaging, such as X-rays, which allow dentists to assess the structure and thickness of the enamel. In some cases, genetic testing may be recommended to confirm the condition and better understand its origin. Early identification is key, as it allows for preventive measures that can protect the teeth from further damage.

Treatment for AI focuses on managing symptoms and preserving the function and appearance of the teeth. Because the enamel cannot be regenerated, the goal is to strengthen what is present and provide additional protection where needed. Dental professionals may use a variety of approaches, depending on the severity of the condition.

Crowns are often used to cover and protect weakened teeth, restoring both strength and appearance. Bonding and veneers can improve the look of the teeth while also adding a layer of protection. Fluoride treatments may help strengthen the remaining enamel, while desensitizing products can reduce discomfort associated with temperature sensitivity.

In more severe cases, comprehensive dental care plans may be developed, involving multiple procedures over time to ensure that teeth remain functional and comfortable.

Beyond the physical effects, AI can also have a significant emotional impact.

Because the condition affects the visible appearance of teeth, individuals—especially children and teenagers—may feel self-conscious or hesitant to smile. Social interactions can become more challenging, and confidence may be affected. The need for ongoing dental treatment can also add to this burden, making it important to address not only the physical aspects of the condition but the emotional ones as well.

Support from family, along with clear communication from dental professionals, can make a meaningful difference. Understanding that AI is a medical condition—not a result of poor hygiene or neglect—helps shift the perspective from blame to care. Education plays a key role in this, both for those affected and for those around them.

It is also important to distinguish AI from more common causes of enamel damage.

Everyday foods and drinks, such as acidic beverages, sugary snacks, and certain processed items, can gradually erode enamel over time. This type of damage develops slowly and is often influenced by habits and lifestyle choices. While it can lead to similar symptoms—such as sensitivity or discoloration—it is fundamentally different from a condition like AI, which originates during tooth development.

Maintaining good oral hygiene, limiting exposure to harmful substances, and visiting a dentist regularly are essential steps for protecting enamel in general. For individuals with AI, these practices become even more important, as their teeth are already more vulnerable to damage.

With proper care and modern dental techniques, people with AI can maintain healthy, functional smiles. Advances in dentistry have made it possible to manage the condition effectively, reducing discomfort and improving appearance in ways that were not previously available.

Living with AI requires ongoing attention, but it does not define a person’s overall health or quality of life. With the right support and treatment, individuals can eat comfortably, speak clearly, and smile with confidence.

In the end, changes in your teeth should not be ignored, whether they are caused by daily habits or underlying conditions. Paying attention to early signs—such as unusual sensitivity, discoloration, or structural changes—can lead to timely care and better outcomes.

Teeth are more than just part of appearance; they are essential to everyday function and overall well-being. Understanding the factors that affect them, from lifestyle choices to genetic conditions, allows for a more informed and proactive approach to dental health—one that supports both long-term comfort and confidence.

You may also like...